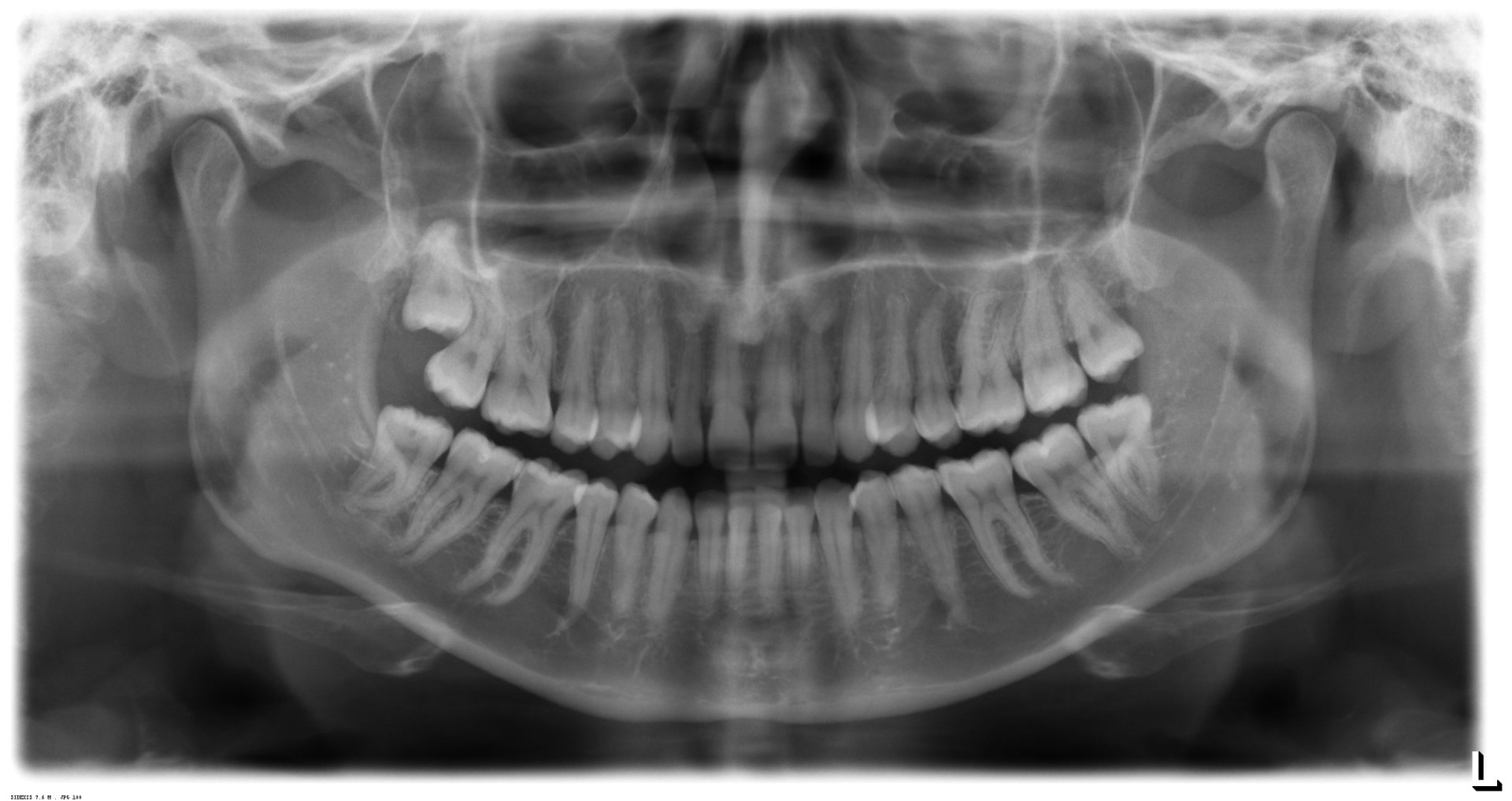
¿Cuándo se deben extraer las muelas del juicio?
01
quistes
Quistes odontogénicos, tumores
02
inflamación recurrente
Riesgo: Inflamación potencialmente mortal
03
Caries (también en el diente de enfrente)
La caries dental en las muelas del juicio puede ser difícil y no fácil de tratar a largo plazo
04
Antes de la disgnatia
La osteotomía conduce a través de la región de la muela del juicio.

