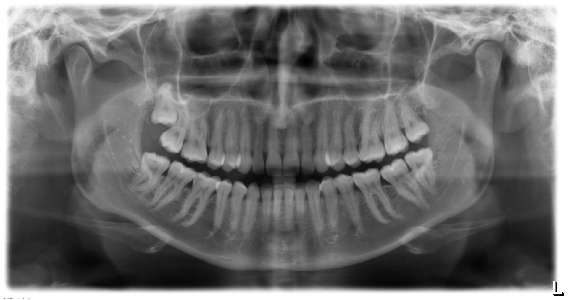
When should wisdom teeth be removed?
01
cysts
Odontogenic cysts, tumors
02
Recurrent inflammation
Risk: Life-threatening inflammation
03
Caries (also on the tooth in front of it)
Tooth decay in wisdom teeth can be difficult and not easy to treat in the long term
04
Before dysgnathia
The osteotomy leads through the wisdom tooth region

